MRI Brain Tumor Classification Model V3
This model is a fine-tuned Xception network for classifying brain MRI scans into 4 categories:
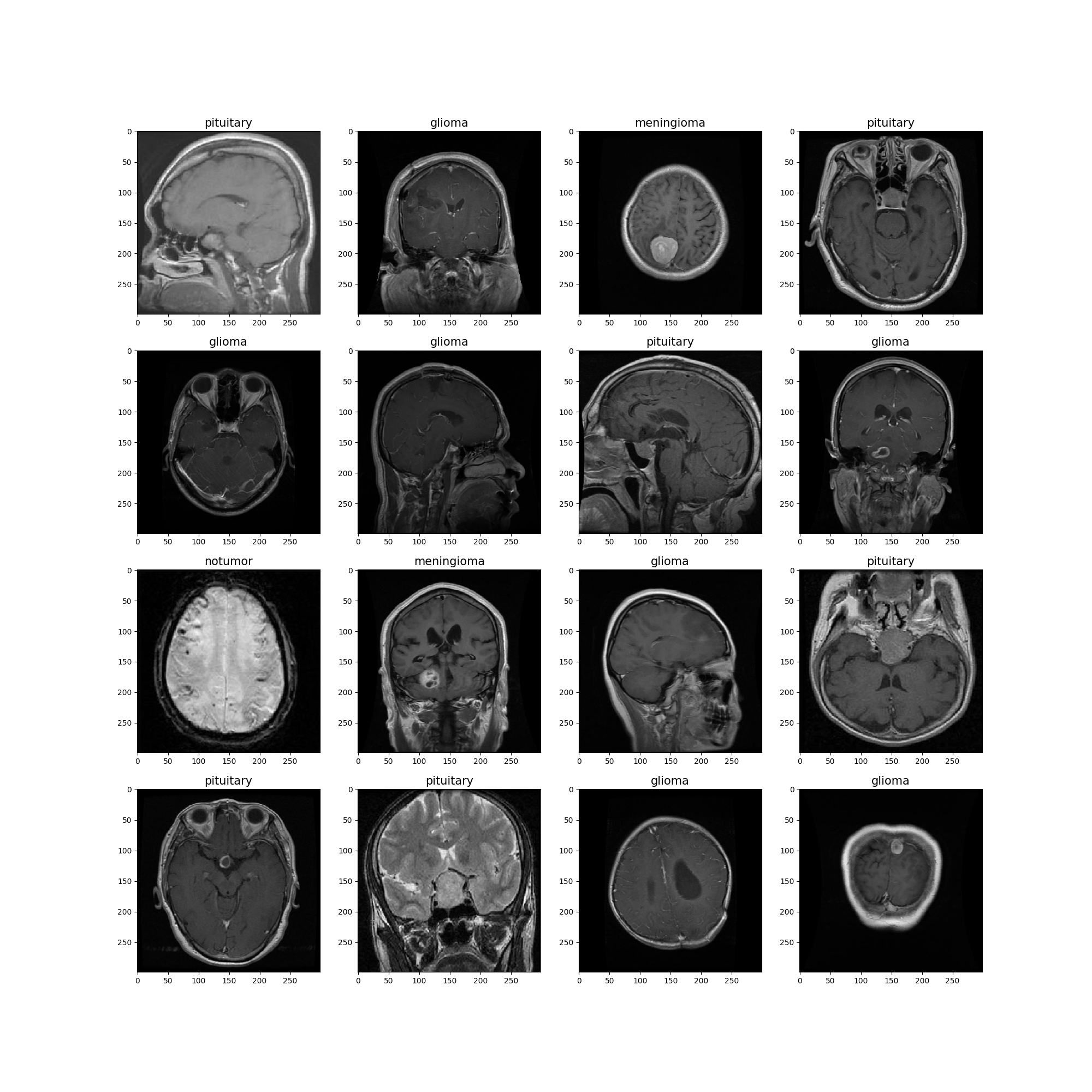
glioma, meningioma, notumor, pituitary.
Model Details
- Architecture: Xception (Pre-trained on ImageNet)
- Input Size: (299, 299)
- Framework: TensorFlow / Keras
- Classes: 4 (glioma, meningioma, notumor, pituitary)
Training Configuration
- Epochs: 10
- Batch Size: 32
- Learning Rate: 0.001
- Optimizer: Adamax
- Loss: Categorical Crossentropy
- Metrics: Accuracy, Precision, Recall
Performance Metrics
Final Training Metrics (Epoch 10):
- Training Accuracy: 0.9979
- Training Loss: 0.0076
- Validation Accuracy: 0.9786
- Validation Loss: 0.1827
- Precision: 0.9979
- Recall: 0.9977
Training History
Metrics Plot
Final Metrics
Confusion Matrix
Data Distribution
Sample Predictions
Usage
import tensorflow as tf
from huggingface_hub import from_pretrained_keras
import numpy as np
from PIL import Image
# Load model
model = from_pretrained_keras("the-shoaib2/Brain_Tumor_MRI_Classification")
# Load and preprocess image
img = Image.open("path/to/mri_scan.jpg")
img = img.resize((299, 299))
img_array = np.array(img)
img_array = np.expand_dims(img_array, axis=0)
img_array = img_array / 255.0
# Predict
predictions = model.predict(img_array)
class_names = ['glioma', 'meningioma', 'notumor', 'pituitary']
predicted_class = class_names[np.argmax(predictions[0])]
confidence = np.max(predictions[0])
print(f"Predicted: {predicted_class} ({confidence:.2%} confidence)")
Model Architecture
The model uses transfer learning with Xception as the base:
- Xception base (pre-trained on ImageNet)
- Global Max Pooling
- Flatten layer
- Dropout (0.3)
- Dense layer (128 units, ReLU activation)
- Dropout (0.25)
- Output layer (4 units, Softmax activation)
Dataset
This model was trained on the Brain Tumor MRI Dataset.
Citation
If you use this model, please cite:
@misc{brain_tumor_mri_v3,
author = {Shoaib},
title = {MRI Brain Tumor Classification Model V3},
year = {2026},
publisher = {Hugging Face},
howpublished = {\url{https://huggingface.co/the-shoaib2/Brain_Tumor_MRI_Classification}}
}
- Downloads last month
- -





